금광동치과 발치해야 할 치아도 살리기 위해서!

안녕하세요.
입니다!
치아가 상실되었을 때
최근 임플란트가
대중적인 치료방법이 되었는데요.
하지만 치의학 기술이 발전되어
아무리 임플란트가 좋다고 해도
기존 자연치만큼 좋은 것은 없답니다!
물론 정말 불가피한 상황에서는
발치를 고려해야 하지만,
자연치를 살릴 수만 있다면
보존적인 방법을 시도하는 것이
바람직하다고 볼 수 있습니다.
금광동치과 에서는
“자연치 보존”을 우선적인 가치에 두고
진료를 도와드리고 있으며,
무분별한 발치와 임플란트 수술을
권유드리지 않는답니다!
오늘은 타치과에서 발치를 권유했으나
본원에서 치아를 살린
케이스를 소개해드리겠습니다. 👀

소개해 드릴 치료 케이스는
매복 사랑니를 발치하고,
발치해야 할 자연치를 살린 사례인데요.
결국 발치해야 하는 순간이 올 때도 있지만
가능하다면 살리는 방향으로
치료를 도와드리고 있으며,
치아를 살려서 잘 사용하시는 모습을 보면
제가 더 기쁠 때가 많습니다. ^^
그럼 치료사례를 함께 보시겠습니다! 🦷

소개해드릴 분의
구강 내 상태를 체크해보니,
여러 가지 문제점이 눈에 띄었습니다.
노란색표시의 잇몸이 내려간 부분과
빨간색 표시의 심한 충치도 눈에 보였고
치석이 심한 부분들도 다수 관찰되었답니다.
노란색으로 표시한 부분을 보시면,
송곳니 쪽 잇몸이 내려가 있는 것을
보실 수 있을텐데요.
여러 개의 치아가 모이면
치열궁을 이루게 되는데요.
치열궁은 알파벳 ‘U’ 모양으로,
양치질을 할 때 송곳니 부위가
가장 힘이 많이 들어가는 부위기도 합니다.
그렇기에 잇몸 퇴축을 초래할 수 있으며,
화살표로 가리킨 부분에서는 심지어
보철물과 잇몸 사이에 틈까지 생겼답니다.
( 보철물을 처음 제작했을 때에는
잇몸선에 알맞게 만들어갔을 겁니다. )
더불어 또 다른 잇몸 퇴축의 원인으로는
바로 치석을 꼽을 수 있는데요.

전반적으로 치석이나 색소 침착이
다소 있는 편에 속했지만
가장 심하게 보이는
아래 앞니 부위를 확대해서
촬영해 보았습니다.
빨간색으로 색칠해 놓은 부분이
다 노랗게 낀 치석으로,
치석의 양이 많이 쌓일수록
잇몸은 더욱 내려가게 됩니다.
치석이 생기면 빠른 시일내에
제거를 해주는 것이 필요하며,
사실 치석으로 인해 한 번 내려간 잇몸은
차오르기 쉽지 않아
평소 정기적인 스케일링을 통한
관리가 필요하답니다.

이번에는 아까 구강내에서는
빨간색 동그라미 표시를 하였던
충치 부위에 대해서
자세히 살펴보겠습니다!
엑스레이 사진은 치아가 썩은 충치 부분을
투과할 수 있어 까맣게 나타나는데요.
구강 내 사진에서는 잘 눈에 띄지 않지만
이렇게 방사선 사진을 촬영해 보면
더욱 발견하이 용이하답니다.
엑스레이 사진에 표시한 부분들이 충치인데,
오른쪽 아래 두번째 어금니
왼쪽 아래 두번째 어금니
왼쪽 아래 사랑니
이렇게 3개의 치아에 심각한 충치를
발견할 수 있었습니다.
사랑니와 더불어 두 번째 큰 어금니들 모두
발치 가능성이 아주 높아 보였고,
다른 치과에서는 발치가 필요하다는
설명도 들으신 상태였는데요.
하지만 서울바로본치과에서는
사랑니만 발치를 하고
2개의 어금니들은 신경치료를 통해
치아를 살려보기로 하였습니다!
우선 왼쪽 아래 사랑니
발치를 먼저 진행하기로 했습니다.

사랑니는 충치가 너무 심해
이미 삭아 구멍이 뻥
뚫려 있는 상황이었는데요.
저희 치과에 내원하신 첫날,
왼쪽 아래 큰 어금니의
완벽한 신경치료 과정을 위해서
옆면의 충치를 제거한 직후의 사진입니다.
사랑니 옆면의 충치도
가능한 출혈이 발생하지 않도록
조심스럽게 제거해주었답니다.

그 다음, 어금니에 충치를 제거한 부위에
보강 재료를 쌓아 올렸고,
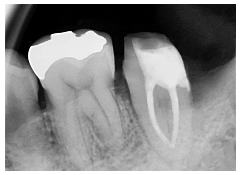
엑스레이 사진을 통해
체크를 해주고 있는 모습입니다.

더불어 사랑니는
잇몸에 부분적으로 매복되어 있었기에
잇몸을 일부 절개하고 열어서
분할 발치를 진행했습니다.
그리고 앞의 큰 어금니는
신경치료와 잇몸치료를 진행하였고,
현재 보철물 제작을 위해
치아 외형을 다듬는 모습입니다.
* 큰 어금니 치아 뿌리에
치석과 염증이 심하여
잇몸치료도 병행해주었답니다.


사랑니발치와 더불어
신경치료 및 잇몸치료까지
진행된 모습입니다.
다음 내원 시에는
제작된 보철물을 수복하면
치료가 마무리 됩니다!
또한 반대쪽 어금니도
치아를 살리기 위한 치료를
이어서 진행하기로 했습니다. ^^
타치과에서 치아를 뽑아야 한다는
말을 들은 상황이었기 때문에
정말 뽑아야 하는 것인가
걱정을 많이 하셨는데요.
이렇게 치아를 살릴 수 있어 다행이라며
금광동치과 서울바로본치과에서
치료하길 잘했다고
감사의 인사를 전해주셨습니다. 💕
이렇게 치아를 살려 건강하게
사용하시는 분들을 뵐 때면
저의 노력이 빛을 발하는 것 같아
보상받는 느낌도 듭니다. 🤗
치의학 기술을 포함해
다양한 기술들이 빠르게 발전하지만
아직까지 완벽한 것은 없다고 생각합니다.
물론 임플란트도 자연치를 대체할 수 있는
좋은 치료 방법인 것은 맞지만,
그래도 아직까지는
자연치 > 임플란트 랍니다!
*모든 증례 사진은 의료법 제23조, 제56조에 의거하여,
당사자의 동의하에 게시하였습니다.
*치료 사진은 모두 본원에서 치료한 환자분 사진입니다.
*치료 사진은 모두 동일인 사진이며, 동일 조건에서 촬영하였습니다.
*개인의 차이에 따라 시술 및 수술 후 부작용이 발생할 수 있으며,
의료진과 충분한 상담을 받으시기 바랍니다.
-금광동치과 서울바로본치과-
